Carolina Hospital +48 22 35 58 200
Wcag A A

Limb lengthening at the Carolina Medical Center

In our clinic, we perform a procedure of lower limbs lengthening with a device that is using a magnetic field.

It consists of special intramedullary growing nails, which change their length because of an internal mechanism stimulated by a magnetic field. It is a modern method, an alternative to traditional lengthening techniques used in medicine since the 1950s.

The indication for the surgical limb lengthening is bone length asymmetry, congenital or resulting from an injury. Uneven leg lengths often cause limping, pain and discomfort with daily activities. Uncorrected, it quickly leads to deformation and degenerative changes in joints and the spine.

A particular indication for limb lengthening is short stature, which causes psychological discomfort to the patient. Limb lengthening allows not only to achieve higher height, but also to improve the proportions of the whole figure, gain self-confidence, increase self-esteem and improve the quality of life.

How is limb lengthening procedure performed?

The procedure takes about two hours and requires 4-5 small (about 15 mm) accesses, i.e. skin incisions. The doctor then performs an osteotomy – that is, a controlled bone fracture – and inserts a special telescopic nail and fixing screws into the medullary canal. The implant is equipped with a motor stimulated by a magnetic field.

Within a week after the surgery, gradual elongation of the limb begins, which continues until the planned length is reached. Three or four times a day, the patient places a special device with a magnet on the operated area, which activates the engine in the nail, followed by its gradual unscrewing, i.e. elongation. The bone lengthens at a speed of about 0.75 to 1 millimeter a day – explains Andrzej Komor MD, an orthopedist specializing in limb lengthening procedures at the Carolina Medical Center

Zdjęcie z opisem

Limb elongated by up to 16 cm

Depending on the planned limb lengthening, the procedure is performed on one or two levels. The general rule is to lengthen the shortened bone, but in some cases we deviate from this rule, looking for the optimal way to lengthen the entire limb. In the case of elongation up to 5 cm, the surgery is most often performed on the tibia, in the case of elongation up to 8 cm – on the femur.

“We can lengthen the limb to a maximum of 16 cm by inserting nails on two levels, i.e. into the femur and the tibia” – emphasizes Dr. Komor.

How long does recovery take?

The result of the surgery largely depends on the cooperation of the patient with the attending physician and physiotherapist. It is important to follow all the recommendations. The postoperative period is not the easiest one. After returning home, the patient has to systematically perform bone lengthening procedures, applying the device to the operated bone. The great problem is the limited mobility and the prohibition of putting load on the limb. The elongated bone and the telescopic nail are very sensitive to loads and even a short walk from the room to the kitchen without crutches may lead to implant destruction and bone healing impairment.

The entire process of returning to activity along with lengthening takes from two to four months and depends on how much the limb is to be lengthened. The more centimeters we want to extend, the longer the patient will recover. But it’s worth it. The effects are spectacular and patients return to normal life and activity.

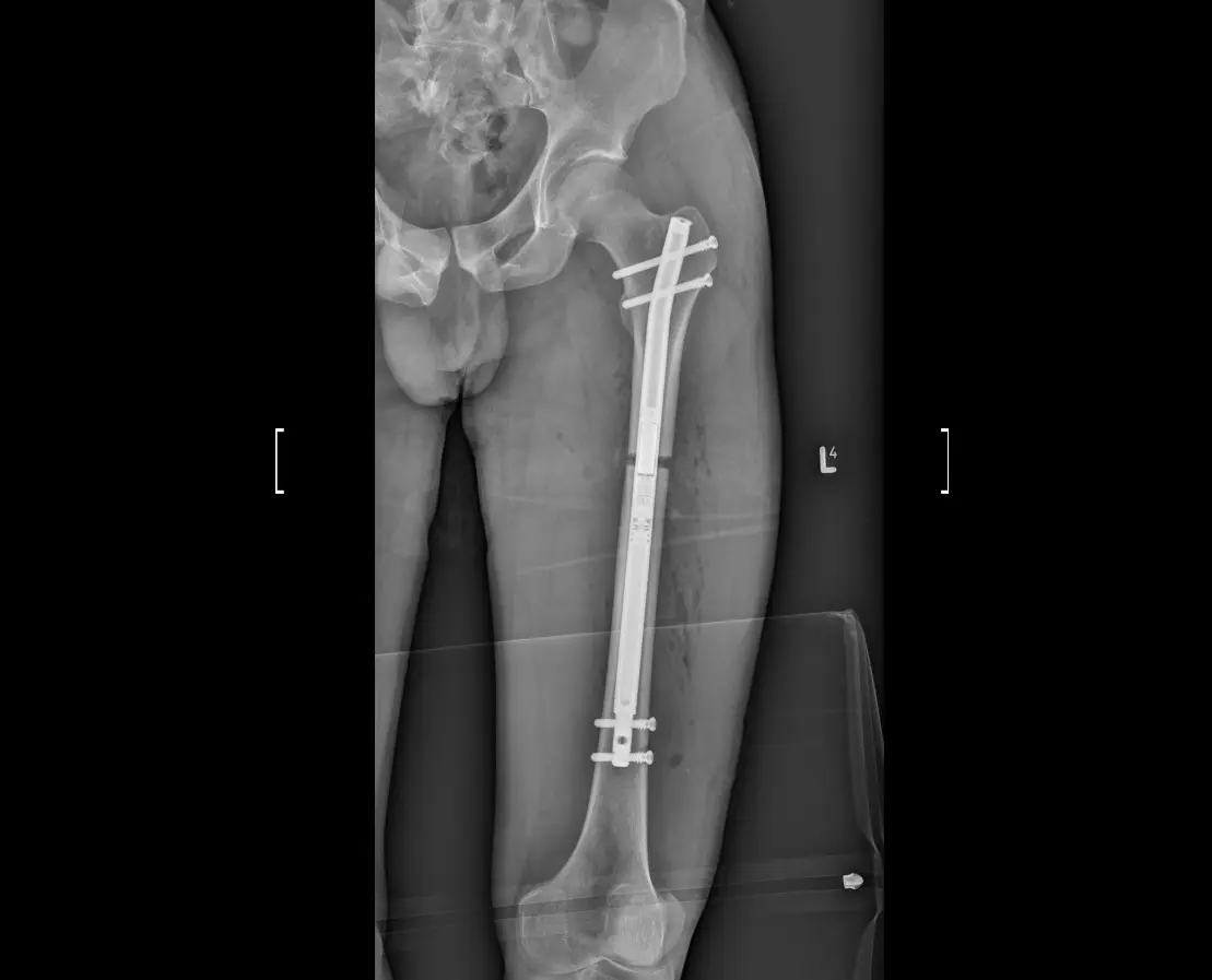
X-ray of the femur of a patient after limb lengthening surgery.
 

X-ray of the femur of a patient after limb lengthening surgery.

 

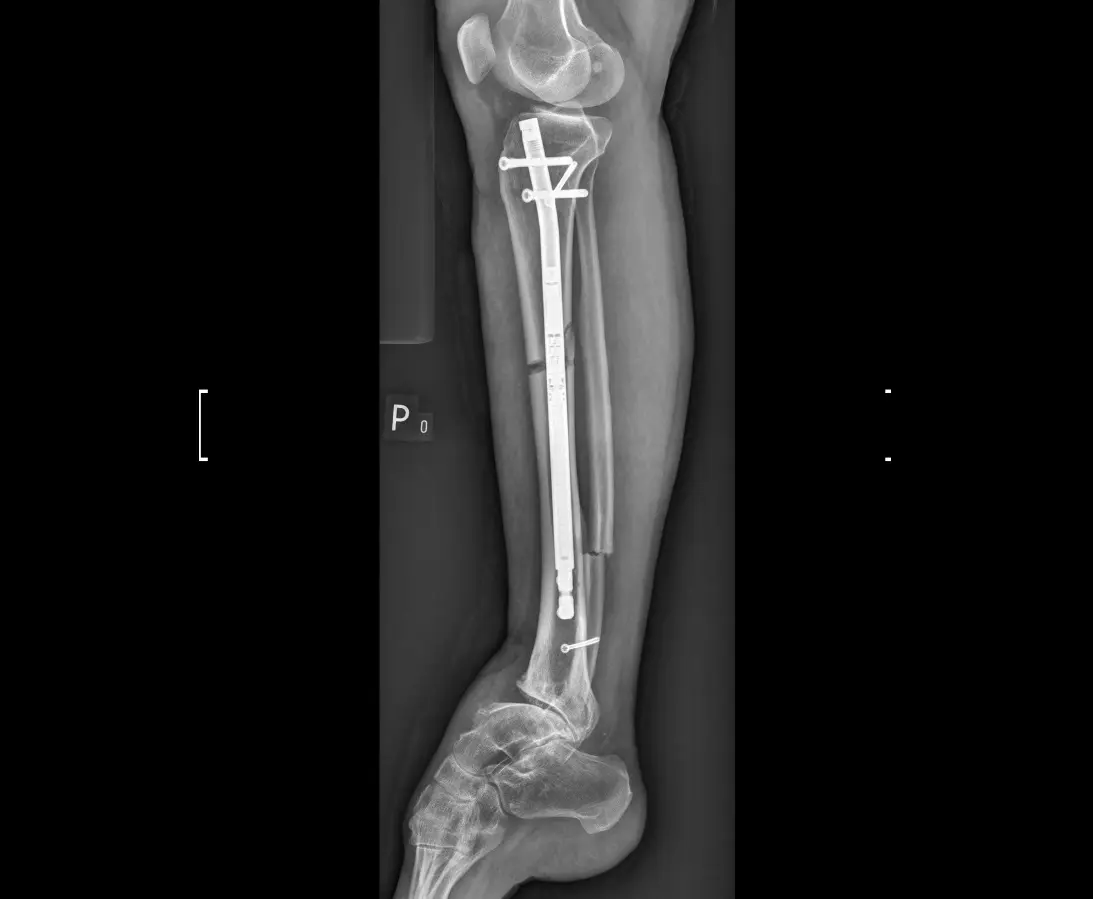
X-ray of the tibia of a patient after limb lengthening surgery.

X-ray of the tibia of a patient after limb lengthening surgery.