Zespół Bertolottiego jest zaburzeniem wrodzonym jednak objawy zaczyna dawać zazwyczaj w wieku 20-30 lat. Polega na wytworzeniu się nieprawidłowego, przerośniętego wyrostka kręgu L5.
Zespół Bertolottiego jest zaburzeniem wrodzonym jednak objawy zaczyna dawać zazwyczaj w wieku 20-30 lat. Polega na wytworzeniu się nieprawidłowego, przerośniętego wyrostka kręgu L5.
Zespół Bertolottiego jest patologią rozwojową dolnego odcinka kręgosłupa, polegającą na wytworzeniu się nieprawidłowego, przerośniętego wyrostka kręgu L5. Istnieje wiele wariantów łączenia rozbudowanych wyrostków z kością krzyżową, co przedstawia klasyfikacja Castellviego.
Zazwyczaj bóle dolnego odcinka kręgosłupa kojarzone są z patologią krążków międzykręgowych. Podejmuje się zatem działania na krążkach – fizykoterapię, ćwiczenia, masaże, przyjmuje się leki przeciwzapalne, przeciwbólowe. Nie przynoszą one oczekiwanych efektów bo przyczyna bólu leży dosłownie 2 – 3 cm w bok.
Zespół Bertolottiego jest zaburzeniem wrodzonym jednak objawy zaczyna dawać zazwyczaj w wieku 20-30 lat. Tak było również w przypadku pacjenta, który zgłosił się doktora Jurija Kseniuka z Centrum Leczenia Chorób Kręgosłupa w Carolina Medical Center z dolegliwościami bólowymi dolnego odcinka kręgosłupa.
Między wyrostkiem kręgu L5 a kością krzyżową wytworzył się u niego dodatkowy staw poprzeczno-krzyżowy (typ 2a wg klasyfikacji Castellviego). Staw ten posiadał cechy stawu nieprawdziwego, czyli bez chrząstki, a więc występowało bolesne ocieranie kości o kość, utrudniające normalne funkcjonowanie.
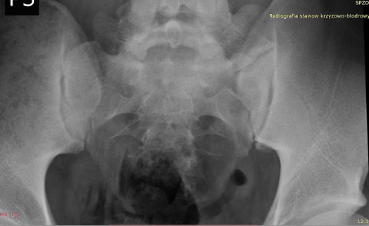
W badaniach radiologicznych (zdjęcia rentgenowskie, tomograf komputerowy) uwidocznioną tę patologię, widać również obrzęk tych kontaktujących ze sobą powierzchni.

rys. 1. Klasyfikacja Castellviego – warianty łączenia wyrostków kręgu L5 z kością krzyżową:
W leczeniu tego schorzenia stosuje się fizjoterapię, masaże, blokady. Kiedy jednak zabiegi te nie przynoszą pożądanego efektu, należy zastosować leczenie operacyjne.
W przypadku wczesnego wykrycia patologii, kiedy nie dokonały się jeszcze zmiany w sąsiadujących strukturach (w stawie krzyżowo-biodrowym, krążkach międzykręgowych) oraz gdy nie wytworzyły się osteofity uciskające na korzenie nerwowe, leczenie operacyjne polega na rozdzieleniu konfliktujących ze sobą powierzchni kostnych, bez konieczności wykonywania usztywnienia.
Operacja polega na wytworzeniu przestrzeni między kontaktującymi ze sobą elementami kostnymi. Za pomocą wiertarki szybkoobrotowej, dłuta i innych narzędzi chirurgicznych, rozdziela się te dwie, ocierające o siebie powierzchnie.
Kiedy jednak sytuacja jest już na tyle zaawansowana (dokonały się już zmiany w sąsiadujących strukturach), że samo usunięcie ocierających się o siebie elementów kostnych nie rokuje odzyskania sprawności i zmniejszenia bólu, wykonuje się dodatkowo usztywnienie.