Szpital Carolina +48 22 35 58 200
Wcag A A

Bóle kręgosłupa i zniesiona lordoza szyjna

Coraz więcej siedzimy, intensywnie korzystamy z komputerów, nie tylko w pracy, ale również w czasie wolnym. Ruszamy się znacznie mniej niż powinniśmy. To prosta droga do problemów zdrowotnych. Jedną z ofiar naszych zaniedbań jest kręgosłup szyjny, a jednym z coraz częściej występujących problemów – zniesiona lordoza szyjna.

Ból szyi – skąd się bierze?

Przyczyną bólu szyi są jej uszkodzenia, do których oprócz urazów prowadzą także przeciążenia. Możemy je podzielić na przeciążenia dynamiczne (częste wśród tenisistów odbijających piłkę setki razy w ten sam sposób każdego dnia) oraz statyczne (grożące pracownikowi biurowemu siedzącemu z głową wysuniętą do przodu, którego mięśnie szyi muszą wciąż pracować, żeby utrzymać taką pozycję).

Czym jest lordoza?

Kręgosłup dzielimy na odcinki: szyjny, piersiowy, lędźwiowy, krzyżowy. Patrząc na kręgosłup z boku, zobaczymy, że nie jest on prosty. Wygięcia zwiększają jego odporność na działające na niego siły. Wypukłe wygięcie w kierunku pleców nazywa się kifozą, a wklęsłe w kierunku pleców – lordozą. Naturalnym wygięciem odcinka szyjnego jest lordoza. Zniesienie lordozy szyjnej to zmniejszenie tego wygięcia aż do wypłaszczenia.

Konsekwencje zniesionej lordozy odcinka szyjnego

Sam fakt zniesionej lordozy szyjnej nie jest powodem bólu kręgosłupa. Za bezpośrednią przyczynę bólu można uznać uszkodzenia korzeni nerwowych, pierścieni włóknistych krążka międzykręgowego, płytki granicznej kręgu, tylnej i przedniej części opony twardej i inne. Zniesiona lordoza szyjna predysponuje np. do dyskopatii, a konkretniej przepukliny jądra miażdżystego i uszkodzenia pierścienia włóknistego.

Wśród moich pacjentów z dolegliwościami odcinka szyjnego dość często widzę przypadki zniesionej lordozy, co oznacza, że kąt pomiędzy pierwszym i drugim kręgiem szyjnym (C1-C2) jest powiększony. Przy tym często też dochodzi do zmniejszenia kifozy górnych kręgów piersiowych, ponieważ organizm dąży do ustawienia wzroku horyzontalnie, co przy wypłaszczeniu odcinka szyjnego nie byłoby możliwe gdyby nie te właśnie mechanizmy kompensacyjne – twierdzi Dominik Kupka, fizjoterapeuta z Carolina Medical Center, twórca programu Fizjo w Pracy.

 
Bóle kręgosłupa i zniesiona lordoza szyjna

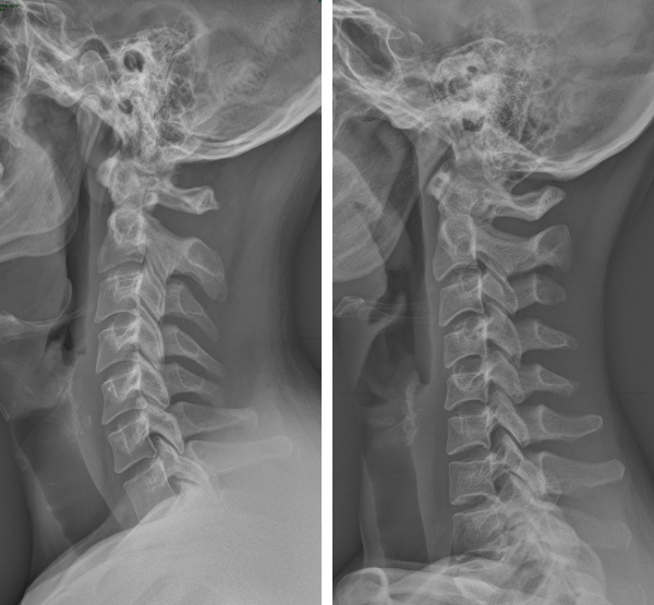
Zdjęcia rentgenowskie: z lewej strony – lordoza prawidłowa, z prawej – lordoza zniesiona.

Komputer i komórka a zniesienie lordozy szyjnej?

Jest wiele przyczyn zniesienia lordozy szyjnej, m.in. osłabienie mięśniowe i prowadzące do nich czynniki: urazy (np. komunikacyjne), siedzący tryb życia, mała aktywność ruchowa. Jednym z coraz częstszych powodów jest długotrwałe przyjmowanie takiej postawy ciała, w której lordoza szyjna jest zmniejszona (często robimy to korzystając z laptopa lub komórki). Nic złego nie stanie się, jeżeli przyjmiemy „złą postawę” na krótki czas. Gorzej, jeżeli będziemy w niej trwać wiele godzin każdego dnia, szczególnie bez zmian pozycji. Efekt może być zauważony dopiero po dłuższym czasie, nawet po latach.

Na ból szyi najczęściej skarżą się pracownicy biurowi. Badania naukowe przeprowadzone niezależnie w ciągu ostatnich kilku lat w Europie wykazują, że blisko połowa z nich ma różnego rodzaju problemy z kręgosłupem szyjnym. Odczuwają dolegliwości szyi, barków, ramion i rąk. Większość to osoby około 30-tki, pracujące średnio 7,5 godziny w tej samej pozycji siedzącej.

Dlatego też osoby pracujące przed komputerem powinny unikać pozycji z głową w tzw. protrakcji, czyli wysunięciu do przodu. Niebezpieczna jest również pozycja z głową pochyloną w dół – patrzenie w ekran komórki czy laptopa, leżącego na kolanach. Długotrwałe pozostawanie w tych pozycjach, może być bezpośrednią przyczyną bolesnych napięć mięśniowych rejonu szyi, karku czy głowy, a w konsekwencji może doprowadzić m.in. do uszkadzania krążków międzykręgowych, bolesnego ograniczenia ruchów głowy. Z czasem jest to też prosta droga to wad postawy, najczęściej zniesienia lordozy szyjnej.

Aby oszczędzać kręgosłup szyjny należy:

  • siedzieć w pozycji, w której głowa jest w jednej linii z tułowiem;
  • w pracy korzystać z wyprofilowanego krzesła lub z podparcia pod odcinek lędźwiowy;
  • ekran komputera ustawić na odpowiedniej wysokości, tak żeby kierunek obserwacji mieścił się pomiędzy kątami 15º-35º względem linii horyzontalnej. Jeżeli nie mamy możliwości regulacji stołu ani ekranu, możemy podłożyć coś pod monitor;
  • często zmieniać pozycję – regularne zmienianie pozycji jest lepsze niż pozostawanie w jednej, nawet najlepszej;
  • zmieniać style w czasie pływania. Dla osób z hiperlordozą szyjną nie jest wskazane intensywne pływanie żabką. Najlepsze dla kręgosłupa jest pływanie na grzbiecie. Przy prawidłowej technice, gdzie głowa leży swobodnie na wodzie, nie jest to przeciwwskazane dla osób ani ze zniesioną ani powiększoną lordozą szyjną.
  • unikać unoszenia barków oraz wysuwania ich do przodu.

Kiedy boli szyja?

W przypadku silnych dolegliwości bólowych, niezbędna jest właściwa diagnoza, na podstawie odpowiednich badań klinicznych i obrazowych. Należy też zwrócić uwagę na postawę całego ciała. Warto zadbać, aby dany problem nie rozwijał się z upływem czasu. Dlatego leki przeciwbólowe i przeciwzapalne należy traktować jedynie jako doraźne wsparcie i skorzystać z pomocy odpowiedniego specjalisty. Najczęściej w stanie ostrym jest to ortopeda lub neurochirurg, a w podostrym i przewlekłym: fizjoterapeuta, osteopata, chiropraktyk lub terapeuta manualny.

Miniaturka video Odtwórz video

Leczenie zachowawcze (nieoperacyjne)

  1. Wiedza jak unikać przeciążeń
  2. Praca technikami manualnymi, których celem będzie:
  • rozluźnienie nadmiernie napiętych mięśni;
  • zwiększenie elastyczności i ruchomości napiętych mięśni oraz innych tkanek;
  • zapewnienie prawidłowej ruchomości we wszystkich stawach kręgosłupa;
  • dzięki ww. działaniom, poprawa postawy ciała i biomechaniki;
  • poprawa regeneracji uszkodzonych tkanek.
  1. Ćwiczenia ruchome – odpowiednio dobrane ćwiczenia mają na celu przede wszystkim:
  • wzmocnienie tych mięśni, które mają istotne znaczenie dla prawidłowej postawy ciała oraz utrzymania właściwej stabilizacji kręgosłupa;
  • poprawę jakości ruchu (biomechaniki);
  • zwiększenie gibkości ciała, elastyczności danych struktur.

Przykładowe ćwiczenia prewencyjne dolegliwości odcinka szyjnego kręgosłupa można znaleźć w Poradnikach na naszej stornie internetowej >> ZOBACZ!!!.

  1. Inne działania optymalizujące regenerację uszkodzonych struktur, m.in.: farmakoterapia, fizykoterapia (elektroterapia, laseroterapia, ultradźwięki, magnetoterapia, zabiegi cieplne, krioterapia, hydroterapia), masaż, właściwa dieta.

Osoby ze zniesioną lordozą odcinka szyjnego powinny unikać:

  • brzuszków wykonywanych dynamicznie i w małym zakresie ruchu – szczególnie dotyczy to pracowników biurowych czy kierowców. W tym ćwiczeniu intensywnie pracują mięśnie szyi (te same, które pracują w celu utrzymania głowy, kiedy jest wysunięta do przodu);
  • dźwigania dużych ciężarów;
  • sportów walki, w których może dojść do szarpnięcia głowy.

Pliki do pobrania