Szpital Carolina +48 22 35 58 200
Wcag A A

Choroba zwyrodnieniowa stawu skokowego (artroza)

Staw skokowy bardzo różni się od innych stawów, takich jak kolano czy biodro, w których artroza rozwija się raczej u ludzi starszych, jako wyraz choroby zwyrodnieniowej. W stawie skokowym zmiany zwyrodnieniowe znacznie częściej, bo aż w 80% przypadków dotyczą ludzi młodych, aktywnych sportowo i są wynikiem przebytych urazów (przebyte złamania, przewlekła niestabilność itp.). Mimo, że potrzeba lat, aby artroza się rozwinęła, z chwilą gdy pojawią się pierwsze jej objawy funkcjonowanie pacjenta będzie sukcesywnie się pogarszać. Odpowiedzią na tę dolegliwość jest proteza stawu skokowego.

Objawy artrozy stawu skokowego

Najczęściej spotykanymi objawami artrozy stawu skokowego są:

  • obrzęk stawu skokowego,
  • stopniowe ograniczenie ruchomości stawu,
  • deformacja stawu, z czasem utrudniająca nawet dobranie odpowiedniego obuwia,
  • ból, początkowo podczas aktywności fizycznej, a z czasem nawet w spoczynku,
  • utykanie,
  • z czasem, w wyniku zaburzonej biomechaniki całej kończyny dolnej, pojawiają się problemy z kolanem i biodrem po tej samej stronie.
Zdjęcie RTG prawidłowego stawu skokowego – widok od przodu Zdjęcie RTG prawidłowego stawu skokowego – widok od przodu
Zdjęcie RTG prawidłowego stawu skokowego – widok z boku Zdjęcie RTG prawidłowego stawu skokowego – widok z boku
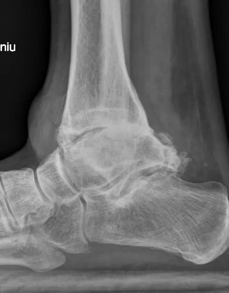
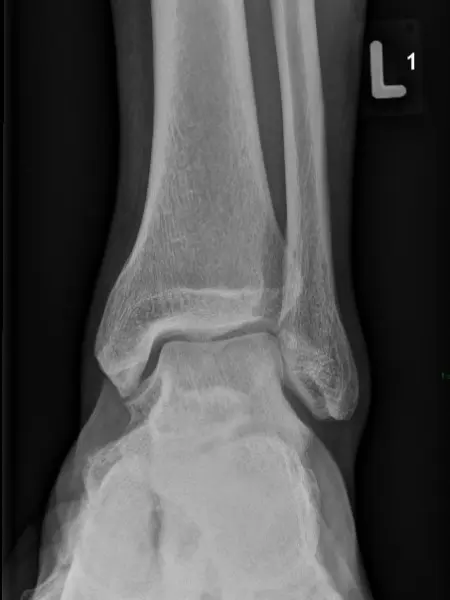
Obraz RTG stawu skokowego z zaawansowanymi zmianami zwyrodnieniowymi, w wyniku przebytego urazu – widok od przodu

Obraz RTG stawu skokowego z zaawansowanymi zmianami zwyrodnieniowymi, w wyniku przebytego urazu – widok z boku

Rekonstrukcja 3D w tomografii komputerowej artrotycznego stawu skokowego Rekonstrukcja 3D w tomografii komputerowej artrotycznego stawu skokowego

Leczenie artrozy stawu skokowego

Niestety nadal jedną z najczęściej wykonywanych procedur u tych pacjentów jest usztywnienie stawu, które co prawda uwalnia ich od bólu i pozwala na swobodny funkcjonowanie w ramach czynności dnia codziennego, jednak niesie ze sobą problemy przy wchodzeniu po schodach, wstawaniu z krzesła, chodzeniu po nierównym podłożu, czy bieganiu. Z czasem, z powodu przeciążeń pojawiają się też problemy z innymi stawami.

Alternatywą dla pacjentów z zaawansowaną artrozą w stawie skokowym może być proteza całkowita typu HINTEGRA.

Proteza typu Hintegra stawu skokowego – widok od przodu Proteza typu Hintegra stawu skokowego – widok od przodu
Proteza typu Hintegra stawu skokowego – widok z boku

Proteza typu Hintegra stawu skokowego – widok z boku

Proteza stawu skokowego typu Hintegra polega na wszczepieniu specjalnych implantów w miejsce uszkodzonej powierzchni stawowej. Dzięki temu Pacjent odzyskuje pełny zakres ruchu w stawie skokowym i może nie tylko normalnie chodzić, ale nawet biegać.

Przeciwwskazania do wszczepienia protezy stawu skokowego są:

  • aktywna infekcja kości,
  • rozległa martwica kości skokowej (ponad 1/3),
  • niestabilność stawu (przeciwskazanie względne, gdyż można to skorygować śródoperacyjnie),
  • porażenia nerwowe,
  • stopa cukrzycowa,
  • udokumentowana nietolerancja na metal,
  • bardzo duże oczekiwania w stosunku do sprawności fizycznej (np. kontaktowe sporty walki).

Znaczna deformacja nie musi być przeciwskazaniem, gdyż wiele z nich daje się skorygować w czasie tej samej, lub wcześniejszej operacji.

Proteza stawu skokowego

Aby założyć protezę stawu skokowego, należy wykonać podłużne cięcie ok. 10 cm z przodu stawu skokowego. Pobyt w szpitalu to ok. 3 dni. Po operacji Pacjent przez kilka tygodni (ok. 6) ma nogę unieruchomioną w bucie typu Walker (sztywny but ortopedyczny, podobny do buta narciarskiego), lecz zazwyczaj zaczyna normalnie obciążać kończynę już w pierwszym tygodniu po zabiegu. W przypadku, gdy w czasie tego samego zabiegu wykonywane są jakieś dodatkowe procedury, np. usztywnienia innych stawów, lub osteotomie korekcyjne kości – okres zakazu obciążania (chodzenia o kulach) może się wydłużyć do 6-8 tygodni.