10 grudnia 2020
10 grudnia 2020
Jesienią odbyły się pierwsze w Polsce (i jedne z pierwszych w Europie) innowacyjne operacje stawu skokowego z wykorzystaniem hybrydowego wszczepu. Ich istotą było połączenie implantu kości skokowej z endoprotezą stawu skokowego. To idealne rozwiązanie dla pacjentów z dużym uszkodzeniem kości skokowej.
Nowa proteza składa się z indywidualnie wykonanego, „szytego na miarę” implantu kości skokowej, który zastępuje blokującą ruch w stawie skokowym i podskokowym zniszczoną kość skokową, oraz połączonego z nim elementu piszczelowego protezy stawu skokowego. W takim zestawieniu obie protezy tworzą wszczep hybrydowy, pozwalający na przywrócenie prawidłowego ruchu w stawie.
Implant hybrydowy, zastępujący staw i całą kość skokową, nie był dotychczas stosowany w Polsce – mówi lek. Andrzej Komor, ortopeda z kliniki Carolina Medical Center, który wykonał pierwsze operacje. – Kość skokowa to kluczowy element mechanizmu stopy i stawu skokowego. Jeśli jest uszkodzona, staw przestaje funkcjonować. W sytuacji, gdy zmiany zwyrodnieniowe dotyczą wyłącznie powierzchni stawowej kości, wykonywana jest standardowa procedura endoprotezoplastyki. Natomiast w przypadku, kiedy uszkodzona jest duża część kości, należy usztywnić cały staw lub zastąpić zniszczoną kość i staw implantami.

Innowacyjną protezę wszczepiono w Carolina Medical Center u ponad 50-letnich pacjentek ze zmianami zwyrodnieniowymi stawu skokowego i zniszczoną pourazowo kością skokową.
Wszczepienie implantu kości skokowej można stosować u dwóch grup pacjentów. Pierwsza to osoby z wieloodłamowym złamaniem kości skokowej, które nie rokuje na prawidłowe zespolenie i odtworzenie powierzchni stawowej (są to świeże urazy do natychmiastowej operacji). Druga grupa to pacjenci z występującymi już powikłaniami takiego złamania, u których dochodzi do tzw. jałowej martwicy kości skokowej. Kość skokowa ulega zniszczeniu, rozkawałkowaniu, a to prowadzi do zablokowania ruchu w stawie skokowym, skrócenia długości kończyny oraz silnych dolegliwości bólowych. Pacjent zmuszony jest do chodzenia z pomocą kul i często wymaga leczenia przeciwbólowego – opisuje lek. Andrzej Komor.
Implant kości skokowej może być alternatywnym sposobem leczenia dla pacjentów, dla których dotychczas nie było rozwiązania innego niż usztywnienie stawu skokowego lub obuwie ortopedyczne. Pierwsze tego typu operacje przeprowadzane były w Japonii. W Polsce, w niewielkim odstępie czasu, operacjom poddały się dwie pacjentki. Każda z kobiet od ponad 3 lat cierpiała z powodu jałowej martwicy kości skokowej – ruch stawu skokowego był całkowicie zablokowany, pacjentki nie miały możliwości stanięcia na całej stopie. Obie pacjentki chodziły o kulach i codziennie przyjmowały leki przeciwbólowe.
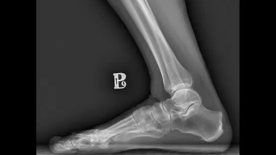
Zdjęcie RTG prawej nogi – zdrowy staw skokowy
Zdjęcie RTG lewej nogi – hybrydowy implant stawu skokowego
Warunkiem dobrego wyniku operacji jest precyzyjne zaprojektowanie i wykonanie implantu kości – każdorazowo na miarę, dla danego pacjenta.
Gdy kość jest zniszczona i nie można jej odwzorować bezpośrednio, wówczas punktem odniesienia jest ta sama kość z drugiej kończyny, a właściwie jej lustrzane odbicie. Trzeba jeszcze pamiętać, że nowa kość musi idealnie pasować do pozostałych kości stopy: piętowej, łódkowatej, klinowatej – mówi lek. Andrzej Komor. – Aby tego dokonać, robimy tomografię komputerową obu stawów. Na podstawie tomografii wykonywane są wydruki 3D zniszczonej kości oraz zdrowego stawu drugiej nogi. Wtedy przychodzi faza dopasowywania do stawu i kalibracji wymiarów – w całym procesie korzystamy ze specjalnego programu komputerowego.
Nowa metoda pozwala powrócić pacjentom do aktywności zbliżonej do tej sprzed urazu. Czas rekonwalescencji, w którym dochodzi się po operacji do funkcjonowania i odzyskania zakresu ruchu, szacowany jest na 3 – 4 miesiące. To także czas, w którym dochodzi do tzw. osteointegracji czyli wrośnięcia kości w porowate części endoprotezy. Bardzo istotna jest prawidłowa rehabilitacja pod okiem specjalistów. Obie pacjentki operowane w Carolina Medical Center po 6 tygodniach od operacji nie musiały już korzystać z kul, wróciły do dawnej aktywności, nie biorą leków przeciwbólowych, ich jakość życia znacząco się poprawiła.
Niewiele jest przeciwwskazań do przeprowadzenia tego typu operacji. Zabiegowi nie mogą poddać się pacjenci z jakąkolwiek czynną infekcją – nawet taką, jak czyrak czy próchnica zębów, infekcje w obrębie pęcherza moczowego, a nawet niewielkie rany skóry. Przeciwwskazaniem jest także zniszczona na skutek urazu skóra, która nie pozwala na przeprowadzenie operacji – w takiej sytuacji konieczna jest konsultacja chirurga plastyka i przeszczep, który uzupełni uszkodzone fragmenty skóry.